Cиндром задней обратимой энцефалопатии (PRES) у пациентки, оперированной по поводу рака прямой кишки: клинический случай и обзор литературы
Аннотация
Актуальность. Синдром задней обратимой энцефалопатии (PRES) является малоизвестным синдромом, патогенез которого до сих пор не до конца понятен. Являясь грозным осложнением, способным привести к инвалидизации пациента, возникает в 58% случаев на фоне артериальной гипертензии и проявляется цефалгией, эпилептическими припадками и нарушениями зрения вплоть до полной слепоты.
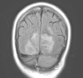
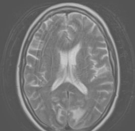
Описание клинического случая. Пациентка 63 лет с хронической артериальной гипертензией 3 ст., 3 ст., риск 4 и сахарным диабетом 2 типа планово поступила для хирургического вмешательства по поводу рака прямой кишки. Во время операции под общей анестезией у пациентки отмечалась нестабильная гемодинамика с повышением АД максимально до 160\100 мм.рт.ст.. После пробуждения пациентка отметила отсутствие зрения и нарушение координации, всё это сопровождалось неконтролируемой артериальной гипертензией с подъёмом АД максимально до 182\130 мм.рт.ст.. На МРТ в обеих затылочных долях (справа 43 мм х 26,5 мм х 40 мм) отмечались участки гиперинтенсивного сигнала в режиме Т2 без признаков ограничения диффузии, паравенктрикулярно в белом веществе головного мозга - очаги до 2 мм сосудистого генеза. Неврологические нарушения пациентке удалось купировать, зрение восстановилось в течение 2 недель.
Дополнительные файлы
|
|
1. Рисунок 1 | |
| Тема | ||
| Тип | Исследовательские инструменты | |
Посмотреть
(44KB)
|
Метаданные ▾ | |
|
|
2. Рисунок 2 | |
| Тема | ||
| Тип | Исследовательские инструменты | |
Посмотреть
(45KB)
|
Метаданные ▾ | |
Рецензия
Для цитирования:
Галицына А.Б. Cиндром задней обратимой энцефалопатии (PRES) у пациентки, оперированной по поводу рака прямой кишки: клинический случай и обзор литературы. Креативная хирургия и онкология. 2024;14(4).
JATS XML


























