«Креативная хирургия и онкология» («Creative surgery and oncology») - рецензируемый научно-практический журнал открытого доступа.
Издается с 2009 года, перерегистрирован Федеральной службой по надзору в сфере связи, информационных технологий и массовых коммуникаций (Роскомнадзор) 29 мая 2017 года (Свидетельство о регистрации ПИ № ФС 77-69907 от 29.05.2017 - печатное издание).
Зарегистрирован в качестве средства массовой информации с формой распространения «сетевое издание» Федеральной службой по надзору в сфере связи, информационных технологий и массовых коммуникаций (Роскомнадзор) 19 февраля 2020 года (Регистрационный номер ЭЛ № ФС 77-77899 от 19.02.2020 - сетевое издание).
Учредитель: Федеральное государственное бюджетное образовательное учреждение высшего образования «Башкирский государственный медицинский университет» Министерства здравоохранения Российской Федерации
Периодичность: 4 выпуска в год.
Языки: русский, английский
Территория распространения - Российская Федерация, зарубежные страны
В журнале публикуются передовые статьи о новых направлениях научных исследований в области хирургии и онкологии, а также новых методах лечения и диагностики.
Журнал ориентирован на практических врачей хирургических специальностей, научных работников и студентов, преподавателей медицинских учебных заведений, организаторов здравоохранения, а также тех, кто проявляет интерес к достижениям современной медицины.
Текущий выпуск
ОРИГИНАЛЬНЫЕ ИССЛЕДОВАНИЯ
Введение. Радионуклидная терапия костных метастазов дихлоридом радия‑223 одобрена для пациентов с кастрационно-резистентным раком предстательной железы. Активно внедряемая в клиническую практику таргетная терапия позволяет улучшить показатели общей выживаемости, снизить болевые ощущения с возможностью отмены сильнодействующих анальгезирующих препаратов, уменьшить либо отсрочить риски возникновения потенциально серьезных осложнений, таких как патологические переломы и компрессия спинного мозга. Цель исследования: оценить эффективность данного препарата. Материалы и методы. С 2023 года в Клинике Башкирского государственного медицинского университета радионуклидную терапию получили 43 пациента с метастатическим кастрационно-резистентным раком предстательной железы. Перед каждым введением дихлорида радия‑223 проводился мониторинг показателей крови и простатического специфического антигена, оценка функционального статуса и болевого синдрома. Пациенты были разделены на группы в зависимости от применения дихлорида радия‑223 в качестве второй, третьей либо четвертой линии терапии. Эффективность препарата оценивалась с помощью контрольной остеосцинтиграфии. Результаты и обсуждение. У 62,7% пациентов, завершивших курс радионуклидной терапии, отмечена стабилизация процесса, что согласуется с данными ключевых публикаций крупнейшего мирового регистра. Общая выживаемость была выше в группе, получавшей терапию в качестве второй линии, по сравнению с группами из более поздних линий. В процессе лечения у 58% пациентов снизился болевой синдром, а в общей группе уровень щелочной фосфатазы снизился на 16,4%, что согласуется с данными рандомизированного исследования III фазы ALSYMPCA. Заключение. Данное исследование вносит вклад в накопление доказательной базы по оптимизации применения дихлорида радия‑223 в рутинной онкологической практике, демонстрируя клиническую эффективность препарата. Поскольку дихлорид радия‑223 противопоказан при висцеральных метастазах и рекомендован в качестве второй линии терапии, важна преемственность в работе специалистов и своевременная маршрутизация пациентов для раннего назначения.
Введение. Хирургическое стадирование — обязательный атрибут лечения рака молочной железы. Для исключения или подтверждения метастатического поражения лимфоколлекторов может использоваться биопсия сигнального лимфатического узла. Несмотря на малую инвазивность вмешательства, хирурги продолжают сталкиваться с нежелательными событиями в послеоперационном периоде. Цель исследования: рассмотреть возможности снижения риска послеоперационных осложнений при проведении малоинвазивных вмешательств на лимфатическом аппарате. Материалы и методы. Нами проанализирована медицинская документация 114 пациентов, которые перенесли биопсию сигнального лимфатического узла. Оценена частота послеоперационных осложнений у пациентов в группах с сортировкой по количеству удаленных лимфатических узлов. Основываясь на опыте борьбы с лимфореей, сформирована группа из 28 пациентов, которым биопсия сигнального лимфатического узла выполнялась с использованием оптического усиления, методики двойной коагуляции, и дополнена щадящими принципами электрохирургического пособия. Результаты и обсуждение. Уменьшение количества удаляемых узлов снижало вероятность осложнений, в том числе сером. При разделении пациентов на подгруппы в зависимости от количества удаляемых лимфатических узлов выявлены случаи метастатического поражения большего количества коллекторов, чем разрешающая способность метода. С учетом полученных данных постановка вопроса об отказе от проведения лимфодиссекции в случае выявления метастатического поражения сигнального лимфатического узла делает необходимым удаление минимум двух лимфатических узлов, оптимальным числом следует считать три удаленных лимфатических узла. Оперативные вмешательства, в соответствии с этими принципами, а также соблюдением вышеописанных методик, были сопряжены с меньшими рисками осложнений. Заключение. Разработка новых технических решений в хирургической практике открывает широкие перспективы для улучшения качества жизни больных. Однако деэскалация хирургического лечения обязана быть последовательной и безопасной. В противном случае все преимущества хорошо выполненной операции нивелируются чрезмерным онкологическим риском.
Введение. Увеличение хирургической активности при заболеваниях органов гепатопанкреатобилиарной зоны привело и к увеличению частоты послеоперационных осложнений. Развитие послеоперационных внутрибрюшных гнойно-септических осложнений является одной из основных причин неблагоприятных исходов. Это диктует усовершенствование методов их коррекции. Цель исследования: на основании анализа большого клинического материала изучить частоту развития и структуру внутрибрюшных гнойно-септических осложнений после операций на органах гепатопанкреатобилиарной зоны. Материалы и методы. Проанализирован большой (4292 случая) клинический материал за пять лет. Показано, что частота всех осложнений после оперативных вмешательств на органах гепатопанкреатобилиарной зоны составила 4,7% (у 202 из 4292). Среди них гнойно-септические осложнения составили 55,9%, или 2,63% от общего числа операций. Результаты. В структуре послеоперационных гнойно-септических осложнений превалировали гнойные холангиты (23,0%), инфицированные желчные затеки (19,5%), абсцессы печени (15,9%) или околопеченочного пространства (14,2%), реже — перитониты (10,6%), абсцессы сальниковой сумки (8,8%), несформированные кишечные свищи (8,0%). Обсуждение. Прогресс уровня технического сопровождения операций на органах гепатопанкреатобилиарной зоны, анестезиологического и реанимационного их обеспечения, техники выполнения первичных и повторных хирургических вмешательств привел к существенному снижению послеоперационных гнойно-воспалительных осложнений (до 2,63% от 5–6% по данным годовых отчетов за предыдущие 5 лет). Заключение. Серьезные возможные исходы послеоперационных гнойно-септических осложнений требуют совершенствования методов их профилактики и коррекции.
Введение. Колоректальный рак (КРР) остается одной из наиболее распространенных причин онкологической заболеваемости и смертности, особенно среди лиц старших возрастных групп. Старение населения и рост продолжительности жизни способствуют увеличению доли пожилых пациентов, у которых диагностируется КРР. Учитывая полиморбидность, функциональные ограничения и высокий риск осложнений, выбор оптимального хирургического подхода в этой популяции представляет значительные сложности, что свидетельствует о клинической значимости сравнительного анализа различных хирургических подходов у данной категории пациентов. Цель исследования — сравнительный анализ результатов хирургического лечения пациентов старческой возрастной группы с раком ободочной кишки в зависимости от хирургического доступа. Материалы и методы. В исследование включены 140 пациентов, которым выполнялись лапаротомные и лапароскопические вмешательства. Проводилась оценка демографических и клинико-морфологических характеристик, интра- и послеоперационных параметров, частота осложнений по классификации Clavien—Dindo (Клавьен — Диндо), а также показатели выживаемости. Результаты. Установлено, что лапароскопические вмешательства характеризуются более короткой госпитализацией, но сопоставимыми показателями общей выживаемости у пациентов обеих групп. Частота послеоперационных осложнений по классификации Clavien—Dindo была сопоставимой между группами, за исключением осложнений II степени, которые чаще встречались при лапаротомии. Статистически значимых различий по послеоперационной летальности и стадии заболевания между группами не выявлено. Обсуждение. Современные данные литературы и полученные результаты подтверждают безопасность и эффективность лапароскопического подхода у пациентов старческого возраста при КРР. Миниинвазивные вмешательства ассоциируются с меньшей интраоперационной травматичностью и благоприятным послеоперационным течением. Однако необходимость тщательного предоперационного отбора сохраняется, особенно у пациентов с тяжелой сопутствующей патологией. Заключение. Полученные данные свидетельствуют о безопасности и высокой эффективности малоинвазивных технологий при хирургическом лечении колоректального рака у пациентов старшей возрастной группы.
Введение. В статье представлен опыт МНИОИ им. П.А. Герцена, проанализированы 110 пациенток с диагнозом РМЖ 0 стадии за период с 2023 по 2024 г. Материалы и методы. По гистологической структуре преобладал внутрипротоковый рак — Тis (DCIS) 100/110 (90,9%), на втором месте рак Педжета — Тis (Paget) 7/110 (6,4%), на третьем месте внутридольковый рак — Тis (LCIS) 3/110 (2,7%). Мастэктомия выполнена у 17 (15,5%) больных, подкожная/кожесохранная мастэктомия с реконструкцией — у 44 (40%) пациенток и резекция молочной железы — в 49 (44,5%) случаях. Результаты. По данным планового гистологического исследования конверсия 0 стадии выявлена в 42/110 (38,2%) случаях. При этом I стадии РМЖ диагностирована в 33,6%, II стадия РМЖ — в 4,5%. Положительные края резекции (R1) при плановом морфологическом исследовании диагностированы у 15 (13,6%) пациенток. Обсуждение. МРТ молочных желез при неинвазивном РМЖ — необходимый компонент для определения распространенности процесса, определения мультифокальности или мультицентричности поражения, и, как следствие, решения о возможности сохранения молочной железы или ее удаления. Важным также является вопрос о необходимости исследования сторожевого лимфатического узла при неинвазивном раке молочной железы. Заключение. Локальные рецидивы РМЖ среди анализируемой группы диагностированы у 2 (1,8 ± 1,6%) пациенток. Конверсия 0 стадии РМЖ в другие стадии, т. е. cTis→pT+, диагностирована у 42/110 (38,2%) пациенток. Несмотря на распространенность процесса (средний размер сancer in situ 42 мм), в 93% выполнены органосохранные операции или подкожные мастэктомии с реконструкцией. Таким образом, сancer in situ может в 40% трансформироваться в другие стадии. Безусловно, роль диагностических методов для оценки распространенности стадии РМЖ крайне важна для выбора оптимального объема хирургического лечения.
Введение. Гастропанкреатодуоденальная резекция остается единственным радикальным методом лечения злокачественных опухолей билиопанкреатодуоденальной области. Однако данное вмешательство сопровождается высокой вероятностью развития послеоперационных осложнений. Наиболее часто среди них встречается гстростаз, причины возникновения которого до настоящего времени полностью не установлены. Хотя гастростаз не является жизнеугрожающим состоянием, он существенно увеличивает продолжительность госпитализации, затраты на лечение и откладывает начало адъювантной химиотерапии. Цель исследования: оценить эффективность методов коррекции и обобщить опыт ведения пациентов с гастростазом. Материалы и методы. Исследование проведено на базе клиники имени И.К. Ахунбаева Национального госпиталя Министерства здравоохранения Кыргызской Республики в городе Бишкек. В период с 2009 по 2023 год выполнено 85 гастропанкреатодуоденальных резекций по поводу злокачественных новообразований билиопанкреатодуоденальной зоны. В исследуемой группе находились 69 мужчин и 16 женщин со средним возрастом 57,5 ± 1,4 года. Результаты. При аденокарциноме ПЖЖ в 24% случаев отмечалось развитие гастростаза, при нейроэндокринной опухоли — 75%. У больных из группы с «мягкой» ПЖЖ в 28,6% отмечалось развитие гастростаза, из группы с «плотной» ПЖЖ — 19,2% случаев. При проведении корреляции между характером паренхимы ПЖЖ и развитием гастростаза критерий достоверности составил P ≤ 0,05. Обсуждение. По результатам лечения больных с опухолями периампулярной зоны количество развившихся гастростазов составляет 23,5%. Нами были определены следующие факторы риска развития гастростаза: характер паренхимы ПЖЖ, наличие механической желтухи, гистотип опухолей, возраст пациента. Оценка у больных наличия факторов риска развития гастростаза позволит заблаговременно проводить профилактику гастростаза в послеоперационном периоде. Профилактическое применение эритромицина, согласно рекомендациям рандомизированных исследований, ускоряет разрешение гастростаза, что подтверждается клиническими результатами. Заключение. Гастропанкреатодуоденальная резекция — одна из сложнейших операций в абдоминальной хирургии не только в техническом плане, но и в послеоперационном периоде. Данная операция сопряжена с высоким риском развития послеоперационных осложнений. Выявление факторов риска поможет дать разгадку в развитии таких осложнений, как гастростаз и панкреатические фистулы.
Введение. Состояние здоровья населения является важным показателем качества окружающей среды и уровня социального благополучия. В последние десятилетия отмечается рост заболеваний, связанных с ухудшением состояния атмосферного воздуха, среди которых особое место занимают злокачественные новообразования. Установлено, что канцерогенные вещества, присутствующие в воздухе, воде и почве, способны вызывать нарушения репликации ДНК и иммунного надзора, повышая риск онкологических заболеваний. Целью исследования было изучение взаимосвязи между уровнем лесистости территорий и онкологической заболеваемостью в муниципальных районах Республики Башкортостан, выявление влияния экологических факторов на здоровье населения и определение их роли в профилактике онкологических заболеваний. Материалы и методы. Исследование ретроспективное, корреляционное. Проанализированы данные за 2024 год по 54 муниципальным районам Республики Башкортостан. Основные данные получены из официальных источников: отчеты онкослужбы, Росстата, Минэкологии РБ и геоинформационных порталов. Использовались методы пространственно-экологического анализа и множественной линейной регрессии с расчетом коэффициентов регрессии, p‑значений, доверительных интервалов и коэффициента детерминации. Результаты. Установлена статистически значимая обратная зависимость между степенью лесистости и уровнем онкологической заболеваемости: увеличение лесного покрова на 1% ассоциировалось со снижением заболеваемости на 1,825 случая на 100 тыс. населения (p = 0,001, R² = 0,200). При добавлении фактора обеспеченности врачами-онкологами связь сохранила значимость (p = 0,002). Пространственный анализ подтвердил выявленные закономерности. Обсуждение. Результаты подтверждают предположение о защитной роли лесных экосистем в отношении канцерогенных факторов окружающей среды. Механизмы включают абсорбцию загрязнителей атмосферного воздуха, осаждение твердых частиц и биодеградацию тяжелых металлов. Несмотря на отсутствие статистически значимого влияния медицинского персонала, экологический фактор оказался самостоятельным. Заключение. Установленная взаимосвязь между лесистостью территорий и снижением уровня онкологической заболеваемости подчеркивает необходимость интеграции экологических характеристик в стратегии охраны общественного здоровья. Полученные данные могут служить научным обоснованием региональных программ экологической реабилитации и профилактических мероприятий.
Введение. Папиллярные карциномы щитовидной железы (ПКЩЖ) считаются относительно часто скрытыми и случайными находками, с хорошим прогнозом и благоприятными исходами лечения. Несмотря на эти данные, метастазы в центральные лимфатические узлы (ЦЛУ) встречаются часто и связаны с негативными последствиями и прогнозом для пациента. Целью настоящего исследования является оценка частоты метастазирования в центральную группу лимфатических узлов ЦЛУ у большинства пациентов с папиллярной карциномой ЩЖ с p‑T1a в течение 10 лет и выявление возможных факторов риска, связанных с наличием метастазов в ЦЛУ. Материалы и методы. Было проведено ретроспективное когортное исследование в Межтерриториальном центре эндокринной хирургии г. Краснодара. В период с января 2010 по январь 2022 года 3013 пациентам была выполнена тиреоидэктомия. В общей сложности 2818 пациентов были исключены из исследования после тиреоидэктомии с окончательным доброкачественным гистологическим исследованием, возрастом < 18 лет, c фолликулярной, медуллярной, анапластической карциномой, смешанным типом рака щитовидной железы размером опухоли > 1 см и стадией pT1b-pT4. В анализ были включены 195 пациентов с pT1a с диагнозом ПКЩЖ. Всем пациентам была выполнена тиреоидэктомия и профилактическая или терапевтическая стандартизированная лимфодиссекция. Результаты и обсуждение. В проведенном многофакторном анализе метастазы в лимфатические узлы центрального генеза присутствуют в значительном числе случаев у пациентов с ПКЩЖ после органосохраняющей операции. Поэтому тщательная предоперационная оценка у пациентов с неподтвержденным метастазированием в лимфоузлы (N0) является обязательной для более правильного выбора наиболее эффективного хирургического лечения. Заключение. Результаты нашего исследования показывают, что метастазы в ЦЛУ присутствуют в значительном числе случаев у пациентов с ПКЩЖ после резекции щитовидной железы. Комбинированное использование этих результатов вместе с предоперационным ультразвуковым исследованием может помочь клиницистам точно оценить вероятность наличия метастазов в ЦЛУ у пациентов с ПКЩЖ, что полезно для определения надлежащего индивидуального хирургического планирования.
Введение. В структуре злокачественных новообразований рак яичников занимает 9-е место. Эта нозология часто связана с тяжелой формой осложнений, таких как потеря репродуктивных органов, что особенно выражено при наследственных формах рака. В настоящее время существует множество терапевтических подходов к лечению рака яичников, включая таргетную терапию, однако до сих пор нет оптимальных иммунотерапевтических схем. Развитие и течение рака яичников во многом обусловлено нарушением иммунного надзора. Одним из факторов, определяющих эффективность иммунного надзора над опухолью, является разнообразие репертуара T‑клеточных и B‑клеточных рецепторов. Целью данной работы явилось исследование уровня эксцизионных колец рекомбинации T‑клеточных и В‑клеточных рецепторов у пациентов с I–III стадиями рака яичников. Материалы и методы. Проведен анализ уровней эксцизионных колец Т‑клеточного рецептора (TREC) и уровня κ-делеционного элемента рецептора В‑клеток (KREC) у 42 пациенток с раком яичников, прошедших радикальное лечение по поводу рака яичников. В исследование вошли пациентки в возрасте от 23 до 74 лет. Результаты и обсуждение. Медиана уровня TREC (копий/105 клеток) составила 16,04 [Q1–Q3: 2,14–37,31], медиана уровня KREC (копий/105 клеток) составила 130,06 [Q1–Q3: 0,34–917,00]. После радикального лечения у 17 пациенток (40,5%) констатирован рецидив заболевания. Медиана безрецидивной выживаемости составила 19 месяцев, самый ранний рецидив зарегистрирован через 7 месяцев после хирургического лечения. Наше исследование подтверждает ранее проведенные исследования, которые указывают на зависимость между прогрессией злокачественных новообразований и уровнями эксцизионных колец. Результаты исследования указали на снижение уровней TREC и KREC с увеличением возраста пациенток, а также отмечалась явная тенденция развития рецидива у пациенток со сниженными уровнями TREC и KREC в крови. Заключение. На основании полученных нами результатов можно сделать вывод о том, что у больных с рецидивом рака яичников в крови наблюдается снижение уровней TREC и KREC. Эти изменения отражают наличие иммунодефицитных состояний, что, в свою очередь, отражает снижение противоопухолевой защиты и усложняет борьбу организма с болезнью.
Введение. Острый некротизирующий панкреатит (ОНП), тяжелая форма острого панкреатита, характеризующаяся некрозом ткани поджелудочной железы, ассоциирован с высокой заболеваемостью и летальностью. Традиционное лечение эволюционировало в сторону малоинвазивных мультидисциплинарных стратегий, направленных на коррекцию системных осложнений и улучшение исходов. Однако оптимальные алгоритмы применения дренирующих методик остаются предметом дискуссий, что требует разработки доказательных протоколов. Цель: проанализировать результаты лечения ОНП и определить эффективный алгоритм применения малоинвазивных дренирующих методик для снижения осложнений, летальности и длительности госпитализации. Материалы и методы. Проспективное когортное исследование (2019–2024 гг.) включило 136 пациентов с ОНП, леченных по некроз-стратифицированному протоколу, в сравнении с 140 историческими контролями. Классификация проведена согласно пересмотренной Атлантской классификации: очаговый (некроз ≤30%), массивный (30–60%), тотальный/субтотальный (>60%). Вмешательства включали ультразвуковое дренирование, лапароскопическую некрэктомию и раннюю открытую санацию. Консервативная терапия: антибиотики, пролонгированная эпидуральная анальгезия, энтеральное питание. Оценка исходов проводилась с использованием шкал SAPS, APACHE II/III, MODS, SOFA. Статистический анализ сравнивал частоту осложнений, летальность и сроки госпитализации. Результаты. В группе протокола зафиксировано значительное улучшение показателей: Очаговый некроз: инфекционные осложнения снизились до 11,1% (vs. 23,6% в контроле; p = 0,01), летальность — до 1,1% (vs. 5,2%; p = 0,03). Массивный некроз: лапароскопическая некрэктомия уменьшила частоту сепсиса до 37,7% (Δ = 41,1%; p < 0,001) и летальность до 11,4% (vs. 28,3%; p = 0,002). Тотальный некроз: ранняя открытая санация снизила летальность от эндогенной интоксикации до 13,7% (vs. 41,2%; p = 0,007) и общую летальность до 34,4% (vs. 62,1%; p = 0,01). Общие исходы: соблюдение протокола уменьшило инфекции на 65% (21,7% vs. 62,8%; p < 0,001), летальность — на 24% (12,4% vs. 16,4%; p = 0,03), сроки госпитализации — на 22% (58 vs. 74 дня; p = 0,002). Обсуждение. Некроз-стратифицированный протокол достоверно улучшает исходы ОНП. Малоинвазивные методы эффективны при очаговом/массивном некрозе, тогда как ранняя открытая санация с детоксикацией критична при тотальном поражении. Заключение. Данный подход снижает риск сепсиса, летальность и инвалидизацию, предлагая шаблон для ресурсоэффективного лечения ОНП.
ОБЗОР ЛИТЕРАТУРЫ
Глиобластома — злокачественная опухоль головного мозга, характеризующаяся агрессивным течением, устойчивостью к химиолучевой и иммунотерапии, рецидивированием и высокой летальностью. Заболеваемость глиобластомой составляет от 3,2 до 5 на 100 000 человек. В последние годы отмечен рост заболеваемости среди пациентов в возрасте до 45 лет. У 25–60% больных глиобластомой развивается эпилепсия, снижая качество жизни и ухудшая прогноз заболевания. У 35–40% пациентов эпиприступы являются первым проявлением глиобластомы, но могут появляться и в процессе лечения/рецидива глиобластомы. На риск развития и тяжесть течения эпилепсии оказывают влияние объем опухоли, характер роста, локализация, наличие предоперационных судорог, мутации IDH1–2, объем остаточной опухоли. Этиопатогенез эпилепсии, ассоциированной с глиобластомой, является многофакторным и малоизученным. Ведущая роль в эпилептогенезе отводится дисфункции ионных каналов с увеличением уровня внеклеточного K+, гиперэкспрессией SCN1A и SCN2A альфа-субъединиц Na+-каналов, а также дисрегуляторных Ca 2+-каналов. В результате в перитуморальной зоне нарушаются гомеостаз тормозных и возбуждающих нейротрансмиттеров, процессы реполяризации/деполяризации, электро‑химическое взаимодействие между нейронами и клетками опухоли. Для лечения эпилепсии, ассоциированной с глиобластомой, наиболее часто применяется карбамазепин ввиду его высокой клинической эффективности. Противоэпилептическая активность карбамазепина обусловлена инактивацией Na+-каналов, потенцированием потенциал-зависимых K+-, Cl–-каналов, ГАМК-ергической системы, торможением выброса глутамата, влиянием на гомеостаз других нейромедиаторных систем головного мозга. Немаловажное значение имеет способность карбамазепина подавлять пролиферацию клеток в ряде клеточных линий злокачественной глиомы. Несмотря на то что карбамазепин является индуктором микросомальных ферментов печени, он не снижает эффективность темозоламида, который не метаболизируется в печени. Возможные при применении карбамазепина нежелательные реакции не требуют отмены препарата. Учитывая высокую клиническую эффективность карбамазепина, необходимы дальнейшие исследования его плейотропных эффектов у больных эпилепсией, ассоциированной с глиобластомой и другими злокачественными опухолями головного мозга.
КЛИНИЧЕСКИЙ СЛУЧАЙ
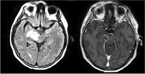
Введение. При глиомах ствола мозга медиана общей выживаемости составляет от 6 до 16 месяцев. Существующие подходы к лечению глиом стволовой локализации не показали значимого улучшения выживаемости, поэтому особенно актуален вопрос поиска новых лечебных стратегий. Материалы и методы. В радиотерапевтическом отделении № 1 БУЗ ВО «ВОНКОЦ» проходила лечение пациентка с диагнозом: глиома grade 4 правого таламуса, заднего бедра внутренней капсулы, правой ножки мозга. Диагноз выставлен клинико-рентгенологически. Тактика лечения: лучевая терапия до СОД 60 Гр: РОД 2 Гр с темозоломидом. Результаты. Проведен курс химиолучевого лечения: дистанционная лучевая терапия по методике IMRT совместно с приемом темозоломида 75 мг/м² /сут. Предписанная доза для пораженной области вне ствола составила 60 Гр, для области, включающей ствол мозга,— 56 Гр. Переносимость лечения была удовлетворительной. Явлений токсичности и прогрессирования неврологического дефицита не отмечалось. Обсуждение. По данным большинства научных исследований, лучевая терапия с СОД 54 Гр — проверенный терапевтический вариант при лечении глиом стволовой локализации. Есть исследования, показывающие, что максимальная толерантная доза на ствол мозга может быть увеличена до 64 или 69,59 Гр. Таким образом, выбор предписанной дозы в рассмотренном клиническом случае выглядит несколько заниженным. Однако в процессе планирования была поставлена задача добиться однородного дозового распределения. В дальнейшем при первичных образованиях ствола мозга видится целесообразным использование 58 Гр в качестве предписанной дозы при соблюдении прочих необходимых критериев. Заключение. В рассмотренном клиническом случае становится возможным подведение суммарной дозы 56–60 Гр на значительный объем опухоли ствола мозга с учетом имеющихся критериев толерантности с достижением удовлетворительного покрытия дозой и отсутствием развития серьезных неврологических осложнений у пациента в ходе лечения.
Объявления
2020-12-25
Журнал «Креативная хирургия и онкология» включён в перечень изданий, рецензируемых ВАК
Приказом Министерства науки и высшего образования Российской Федерации от 9.12.2020 г. № 427-р «О включении в перечень, рецензируемых научных изданий, в которых должны быть опубликованы основные научные результаты диссертаций на соискание ученой степени кандидата наук, на соискание ученой степени доктора наук» журнал «Креативная хирургия и онкология» включён в перечень изданий, рецензируемых ВАК.
| Еще объявления... |
ISSN 2307-0501 (Online)

























